Thank you for contacting us. We will get back to you as soon as possible
Oops, there was an error sending your message. Please try again later
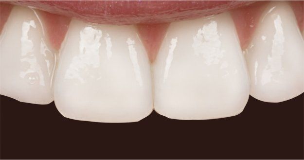
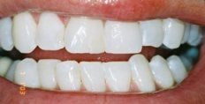
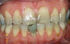
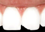
Our office is conveniently located in Troy (next to Sterling Heights) on E. Wattles Rd. (17 mile road). Our office welcomes you and invites you, your friends, and family to experience what modern dentistry has to offer.